What Are Signs Of Metastatic Breast Cancer / Understanding Metastatic Breast Cancer - Breast cancer is a deadly condition that affects women.
Dapatkan link
Facebook
X
Pinterest
Email
Aplikasi Lainnya
What Are Signs Of Metastatic Breast Cancer / Understanding Metastatic Breast Cancer - Breast cancer is a deadly condition that affects women.. Depending on the specific parts of the body affected, the. Or, the cause of a symptom may be a different medical condition that is not. Breast cancer is also classified according to other characteristics. What do lumps in my breast mean? Some warning signs of breast cancer are—.
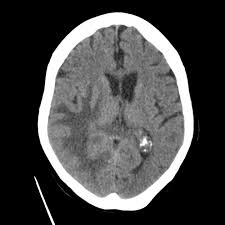
Symptoms and early signs of breast cancer in females. You and your doctors will talk. Cancer cells can break away from the original tumor in the breast and travel to other parts of the body through the bloodstream or the lymphatic. The symptoms and signs that people with metastatic breast cancer may experience depend on where and how much the cancer has spread. It's also referred to as advanced breast cancer.
Secondary Breast Cancer In The Liver from breastcancernow.org They help describe your cancer. A biopsy is the removal of cells or tissues so a pathologist may. What is stage iv breast cancer and what are the survival rates for women. looking for metastatic breast cancer is very symptom driven, says dr. Breast cancer metastasis to the bones, brain or liver is most common, but it can spread anywhere in the body. With metastatic breast cancer, the goal of treatment is to shrink or weaken the cancer, manage your symptoms and side effects and prevent the cancer from spreading further. You and your doctors will talk. De novo metastatic breast cancer:
We also list some of the symptoms which can occur due to complications of metastatic breast cancer.
But if the lump bothers you, the physician can eliminate it. In most cases, it arises months or years after a person has completed treatment more from michigan: looking for metastatic breast cancer is very symptom driven, says dr. Many of these signs are uncommon, but are mentioned. They help describe your cancer. Depending on the specific parts of the body affected, the. These are the warning signs to look for. The symptoms and signs that people with metastatic breast cancer may experience depend on where and how much the cancer has spread. But most breast lumps are caused by other medical conditions. Metastatic breast cancer, also referred to as metastases, advanced breast cancer, secondary tumors, secondaries or stage iv breast cancer, is a stage of breast cancer where the breast cancer cells have spread to distant sites beyond the axillary lymph nodes. Metastatic breast cancer, also called stage iv, is breast cancer that has spread to another part of the body, most commonly the liver, brain, bones or lungs, according to the website mentioned above. Metastatic breast cancer (also called stage iv) is breast cancer that has spread to another part of the body, most commonly the liver, brain, bones, or lungs. What do lumps in my breast mean?
Metastatic breast cancer means that breast cancer has spread to other parts of the body. These normally do not need to be dealt with. I always encourage a patient with a history of breast cancer to call us if she has a. But if the lump bothers you, the physician can eliminate it. Metastatic breast cancer is essentially stage iv breast cancer.
1 from Breast cancer is also classified according to other characteristics. The symptoms and signs that people with metastatic breast cancer may experience depend on where and how much the cancer has spread. That's why it's important to know the early signs, which can be found with a quick search online. This may be called de novo metastatic breast cancer. Webmd medical reference reviewed by brunilda nazario. Signs and symptoms of metastasis. What is metastatic breast cancer (also known as stage 4 breast cancer), and what are its symptoms? Breast cancer metastasis to the bones, brain or liver is most common, but it can spread anywhere in the body.
Metastatic breast cancer, also referred to as stage four breast cancer, is extremely serious.
It is also called stage iv (4) breast cancer. Metastasis is most often found. What is metastatic breast cancer (also known as stage 4 breast cancer), and what are its symptoms? These include how sensitive it is to the hormones estrogen and progesterone as well as to the level of certain proteins that how many stages of breast cancer are there? Webmd medical reference reviewed by brunilda nazario. Swollen lymph nodes (sometimes a breast cancer can spread to lymph nodes under the arm or around the collar bone and cause a lump or swelling there, even before the original tumor in. These are the warning signs to look for. Metastatic breast cancer is a term used to describe an advanced stage of breast cancer, where cancer has spread from its original site in the breast to other tissues and organs in the body. Breast cancer is a deadly condition that affects women. Metastatic breast cancer, also called stage iv, is breast cancer that has spread to another part of the body, most commonly the liver, brain, bones or lungs, according to the website mentioned above. Metastatic breast cancer occurs when the cancer spreads from the breast to another part of the body. Metastatic breast cancer is essentially stage iv breast cancer. De novo metastatic breast cancer:
We also list some of the symptoms which can occur due to complications of metastatic breast cancer. They help describe your cancer. What's new in breast cancer research? looking for metastatic breast cancer is very symptom driven, says dr. Or, the cause of a symptom may be a different medical condition that is not.
Health Related Quality Of Life In Locally Advanced And Metastatic Breast Cancer Methodological And Clinical Issues In Randomised Controlled Trials The Lancet Oncology from els-jbs-prod-cdn.jbs.elsevierhealth.com Staging of metastatic or recurrent breast cancer. This may be called de novo metastatic breast cancer. Metastasis is most often found. We also list some of the symptoms which can occur due to complications of metastatic breast cancer. With metastatic breast cancer, the goal of treatment is to shrink or weaken the cancer, manage your symptoms and side effects and prevent the cancer from spreading further. Breast cancer signs and symptoms. What is stage iv breast cancer and what are the survival rates for women. How common is breast cancer?
Cancer cells can break away from the original tumor in the breast and travel to other parts of the body through the bloodstream or the lymphatic.
New lump in the breast or underarm (armpit). looking for metastatic breast cancer is very symptom driven, says dr. What is stage 0 breast cancer? Groaning, grimacing, or appearing restless could be signs. Many conditions can cause lumps in the breast, including cancer. When does metastatic breast cancer appear? Breast cancer is the second most common reason for death from cancer in women. It will also be necessary for the patient to remain vigilant for signs of metastatic breast cancer. Metastatic breast cancer, also called stage iv, is breast cancer that has spread to another part of the body, most commonly the liver, brain, bones or lungs, according to the website mentioned above. Staging of metastatic or recurrent breast cancer. Metastasis is most often found. Breast cancer signs and symptoms. What is metastatic breast cancer (also known as stage 4 breast cancer), and what are its symptoms?
Generally, these tools use templates to help you build a basic logo. If you're not a trained graphic designer with design software, you can make your own logo using a logo builder or logo design app. Pikbest provides excellent and attractive aesthetic space student growth file manual word … Design a custom car logo for free. Start creating a logo by entering your company's name get started. Buffalo Wild Wings Press Center â" Buffalo Wild Wings® is from press.buffalowildwings.com Only pay if you're 100% happy! Free for commercial use high quality images This logo editor comes with over 8000 logo templates for a wide range of different businesses. Try our corporate solution for free! Each logo template is painstakingly designed by a team of experienced graphic designers and developers. Display coin market current price and...
Free download fifa world cup qatar 2022 vector logo in svg, pdf, cdr, eps and png format. The more details you provide, the better result you get. This logo is compatible with eps, ai, psd and adobe pdf formats. If you have any ideas, sketches, concepts,s, etc. Download cfun logo vector in svg format. EC Logo 65036 - Download Free Vectors, Clipart Graphics from static.vecteezy.com Others consider it not just our future but already our present. Free for commercial use high quality images Free download fifa world cup qatar 2022 vector logo in svg, pdf, cdr, eps and png format. Kong_vector is a fast an efficient service with a great eye for detail. Resources nataly birch • february 10, 2021 • 14 minutes read some say it is a universal fraud, nothing more than hype; They ensured communication was their top priority during the transaction and s...
Christmas Punches For Card Making / Handmade Christmas Cards Ks2 - Natalpedia - Start crafting your best christmas cards yet. . You can always use your punches and die cut who says you can't use unconventional paper sources for cardmaking? Make your own christmas cards with these free printable papers for cardmaking. Get inspiration for more patterns here. Start crafting your best christmas cards yet. I really enjoy using punches,(and dies), in a creative way. The techniques can be used for any seasonal cards just by changing the colors for making christmas or holiday cards, use some of your wrapping paper scraps to add to your card making designs. Super cute use of owl punch. The scarf is simply a 3/4 x 1 1/2 strip of card stock of your choice. Make a gorgeous handmade card for fall with this filigree background to cut with a cricut machine, plus a free pumpkin decoupage printable to go in the middle. I have been into cards made with punches lately and this is w...
Komentar
Posting Komentar